[导语] 在医学领域,胆道梗阻犹如交通要道的堵塞,若不及时疏通,将引发黄疸、感染等一系列严重后果,危及患者生命。特别是对于“低位胆道梗阻”,传统治疗方案常面临“路径难寻”的困境。近日,我院介入团队另辟蹊径,成功完成两例高难度 “经皮胆囊穿刺胆管取石/支架植入术”,为低位胆道梗阻患者打开了新的生命通道。
![]()
![]()
![]()
![]()
![]()
![]()


直面临床困境:当肝内胆管“无路可走”
胆道梗阻根据位置分为高位和低位。常规的经皮经肝穿刺胆道引流术(PTCD),需要依赖扩张的肝内胆管作为“路标”和“通道”。然而,当梗阻发生在胆总管下端(即低位梗阻)时,上游的肝内胆管往往扩张不明显,使得经肝穿刺变得异常困难甚至无法实现。
“这就好比河流下游堵塞,但靠近源头的水库却没有明显涨水,我们难以直接从水库找到下游的堵塞点。”我们介入专家形象地解释道,“在这种情况下,胆囊作为一个天然‘储水池’,因其位置固定、易于穿刺,成为了我们建立通道的理想‘中转站’。”
技术创新:巧用胆囊“中转站”,建立微创“生命线”
本次成功救治的两例患者,一例为胆总管中断恶性梗阻,另一例为胆总管下端结石嵌顿。面对肝内胆管不扩张的共同难题,我院介入团队果断采用了 “经皮经肝胆囊穿刺”这一技术路径。
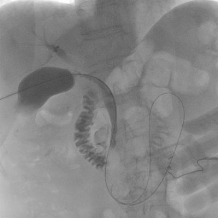
1. 精准导航,一步到位:术前,通过磁共振胆管水成像(MRCP)精确绘制胆道“地图”,清晰显示梗阻部位与胆囊关系。术中,在超声实时引导下,采用经典的 Seldinger技术,犹如“穿针引线”,将穿刺针精准送入胆囊。值得一提的是,术中我们严格遵循安全路径,即经肝的右下周边穿刺,经胆囊床进入胆囊,此举有效避免了针道经过肝门等重要结构,相关并发症风险得以显著降低。 随后置入导丝、扩张通道、留置引流管,一步到位。
![]()
![]()
![]()
![]()

术中在超声实时引导下进 通过Seldinger技术建立胆囊、胆总管
行胆囊精准穿刺 至十二指肠的手术通道
2. 分步施治,直击病灶:建立稳定的经胆囊通道后,团队便拥有了直达病所的“工作隧道”。
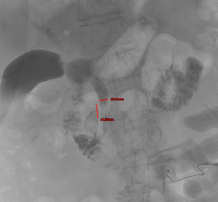
★针对结石患者:团队沿通道进入胆总管,利用球囊扩张十二指肠乳头括约肌,巧妙运用网篮或球囊将结石顺利推入十二指肠,实现了微创取石。该技术的另一大优势在于,它通过球囊扩张十二指肠乳头括约肌,是一种可恢复的、非破坏性的操作,完美避免了腹腔镜或内镜下括约肌切开术可能造成的永久性损伤。由于括约肌的生理功能得以保留,从长远看,术后因肠液反流导致的胆道感染并发症也得以有效避免。该方法避免了传统开腹手术的大创伤,也弥补了内镜逆行的不足。
★针对恶性梗阻患者:通过此路径成功引流淤积的胆汁,有效降低黄疸、改善肝功能,为后续治疗赢得了宝贵时间,并可进一步植入支架,实现长期引流。
![]()
![]()
![]()
![]()
![]()

通过建立的通道,使用球囊取石 胆管癌植入支架
技术优势与专家观点:为何选择这条路径?
根据专业文献与临床指南,经皮胆囊路径处理低位胆道梗阻具有独特优势:
路径便捷安全:胆囊体积较大、位置固定、伤口微小,穿刺成功率高,规避了穿刺不扩张肝内胆管的高风险。
引流效果立竿见影:能迅速解除胆道高压,缓解症状。
为复杂操作提供平台:不仅是引流,更为取石、支架植入、活检等后续介入治疗提供了稳定的工作通道。
此技术尤其适用于 高龄、基础病多、无法耐受外科手术或ERCP(经内镜逆行性胰胆管造影术)失败 的危重患者。
结语
此次两例手术的成功,标志着我院在复杂胆道疾病的微创介入治疗领域取得了新的突破。它充分体现了我院多学科协作(MDT)的优势以及介入团队“以患者为中心”,勇于挑战技术难点的创新精神。未来,我院介入科团队将继续深耕微创介入技术,用更精准、更安全的方法,为更多疑难重症患者带来生的希望。
淄博市中医医院
介入科 陈冬供稿
2023年11月15日
联系电话:0533-6699127 6699128 介入热线:15666021120


