肿瘤综合介入治疗新时代——不开刀、不化疗、不放疗
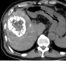
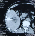
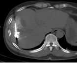
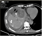
社会快速发展所带来的环境影响,让肿瘤离我们越来越近,当身边的人患有这种疾病时,给患者和亲人带来沉重的思想包袱,而开刀、化疗、放疗等传统治疗方式又给肉体带来更加痛苦的深层次打击。 患者往往对传统治疗望而却步,在绝望中等待生命的终结…… 问 还有希望吗!还有别的治疗方法吗? 答 有!而且还很易于接受。 一根细针,一根细细的PVC导管,或许就能给你带来希望。 通过细针,经皮穿刺病灶,取得细胞学、组织学等资料,可以让我们了解到底是恶性肿瘤还是良性疾病,并知道是什么类型的肿瘤;通过细针,可以让针尖加热,把肿瘤加热失去活性,就像把鸡蛋煮熟了再也孵不出小鸡那样,肿瘤就不再生长,而逐渐吸收变小;通过细针,可以把小小的粒子植入肿瘤,通过粒子缓慢释放能量,把肿瘤灭活,达到治愈肿瘤病灶的目的。 通过导管,进行血管造影进一步确认到底是不是恶性肿瘤;通过导管,并可把载有抗肿瘤药物微球直接注射进入肿瘤血管,缓慢持续长时间杀灭肿瘤细胞;通过导管,可以把给肿瘤供血的血管堵起来,让肿瘤失去血流,失去养料供给,饿死它。 上帝为你关上一扇门的同时,必定会为你打开了另一扇窗,快速发展的社会,科技日新月异,新技术新方法也给肿瘤治疗带来了新的希望。 近年来,淄博市中医医院介入科引入诸多新时代发展带来的前沿新技术,结合数千年古老神秘的中医调理,给诸多患者带来了新的希望和愉快的新生活。 病例一 2015.9 2015.9.11微波消融后 2017.4 肝动脉栓塞并粒子植入,病变直径75mm 2021.4.复查,病变直径35x23mm 病例二 2015.7 肝动脉栓塞并肝癌微波消融 2017.8 MRI复查,病变未见进展 2021.7 CT复查病灶显著缩小 患者后期按时复查,其他处有新增病灶,通过多次介入治疗,至今健在。 介入放射学 是在现代影像学(DSA、CT、超声、磁共振等)方法的引导下,采取经皮穿刺、插管,对患者进行血管造影、采集病理学、生理学、细胞学、生化学检查资料,进行药物灌注、血管栓塞或消融等"非外科手术"方法诊断和治疗多种疾病。 其特点简便、安全、有效、微创、可重复治疗和并发症少,该技术也适合肺癌、肾癌、胰腺癌、甲状腺结节、肺结节等疾病的治疗。 它将不能治疗的疾病变为可治疗、难治性疾病变为容易治疗、复杂治疗疾病变为简单治疗、大创伤治疗变为微创治疗、危险治疗疾病变为安全治疗。目前许多介入方法成为了主要的治疗方法,甚至取代或淘汰了原来的外科手术。 淄博市中医医院介入科 0533-6699127、6699128 官方微信公众号 长按关注 获取更多健康咨询 淄博市中医医院 淄博市中医医院始建于1952年,是鲁中地区最大的一所集医疗、科研、教学、养生保健四位一体的综合性三级甲等中医医院。是山东中医药大学的附属医院、国家住院医师规范化培训基地、山东省中医药预防保健服务中心。设有21个临床科室,9个医技辅助科室,开放床位700张。医院拥有核磁共振、CT等大型诊疗设备300多台件。 预约电话:0533-6699333、6433111 新院区地址:周村区新建东路1166号(碧桂园对面) 。 电话:0533-6699333、6433111 1.乘坐96路公交车到碧桂园站下车 2.乘坐291路公交车到碧桂园站下车 3.乘坐258路公交车到碧桂园站下车 老院区地址:山东省淄博市周村区新建中路75号(乘坐238路、239路、34路、96路公交车均可到达) 和平路院区地址:张店区和平路18号(南西五路与和平路转盘东北角) 电话:0533-2210092 1.乘坐35路、121路、132路、95路公交车和平小区站下车北行100米即到。 2.乘坐138路、223路公交车天星小区站下车东行200米即到。 3.乘坐96路、126路、12路公交车中国陶瓷馆站下车南行600米即到。官方抖音


